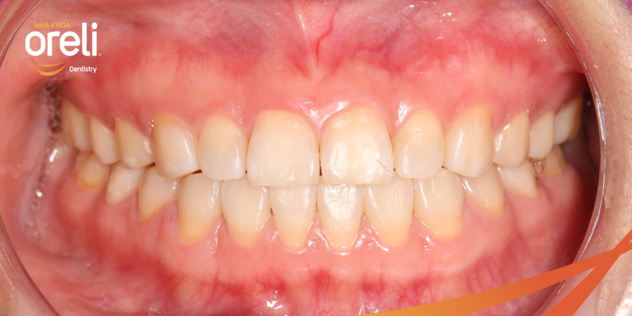
Chúng tôi thích nhìn thấy bệnh nhân của chúng tôi mỉm cười! Dưới đây là một số hình ảnh trước và sau tốt nhất của chúng tôi, tất cả trong một Thư viện Nụ cười tuyệt vời
Chúng tôi thích nhìn thấy bệnh nhân của chúng tôi mỉm cười! Dưới đây là một số hình ảnh trước và sau tốt nhất của chúng tôi, tất cả trong một Thư viện Nụ cười tuyệt vời