Kiến thức nha khoa
Chuyên mục Kiến thức nha khoa tại Nha khoa Oreli chia sẻ các thông tin hữu ích về chăm sóc răng miệng, niềng răng, trồng răng Implant và các vấn đề nha khoa thường gặp.
Các bài viết được biên soạn nhằm giúp bạn hiểu rõ hơn về tình trạng răng miệng và lựa chọn giải pháp điều trị phù hợp tại Buôn Ma Thuột.
17 Th11, 2021
Bé 4 tuổi có nhổ răng được không là thắc mắc của nhiều phụ huynh khi con ở độ tuổi…
Đọc tiếp →
16 Th11, 2021
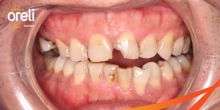
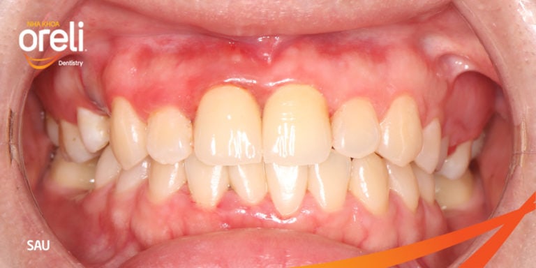
Làm răng sứ thẩm mỹ hiện là xu hướng được ưa chuộng của nhiều khách hàng hiện nay. Răng sứ…
Đọc tiếp →
15 Th11, 2021
Có nhiều nguyên nhân gây ra bệnh chảy máu chân răng như đánh răng không đúng cách, do thiếu canxi…
Đọc tiếp →
14 Th11, 2021
Trồng răng tháo lắp mất bao lâu, các bước thực hiện như thế nào. Bài viết hôm nay, nha khoa…
Đọc tiếp →
13 Th11, 2021
Bị đau răng làm gì cho đỡ đau răng khi chưa tìm được thuốc giảm đau răng. Hãy tham khảo…
Đọc tiếp →
13 Th11, 2021
Viêm tủy răng có nguy hiểm không thì hãy tìm hiểu ngay trong bài viết bên dưới đây để biết…
Đọc tiếp →
12 Th11, 2021
Liệu bà bầu có nhổ răng khôn được không là câu hỏi mà nha khoa Oreli nhận được rất nhiều.…
Đọc tiếp →
10 Th11, 2021
Bị tụt lợi có niềng răng được không là câu hỏi được nhiều người bệnh quan tâm. Theo các chuyên…
Đọc tiếp →
9 Th11, 2021
Đánh răng là bước quan trọng trong chế độ chăm sóc, vệ sinh răng miệng. Đánh răng giúp răng sạch,…
Đọc tiếp →