Niềng răng móm lệch khớp không nhổ răng ở Buôn Hồ | Kết quả thực tế tại Nha khoa Oreli Niềng răngMóm Xem thêm
Niềng răng lệch khớp cắn tại Buôn Ma Thuột – Hành trình thay đổi nụ cười tại Nha khoa Oreli Niềng răngMóm Xem thêm
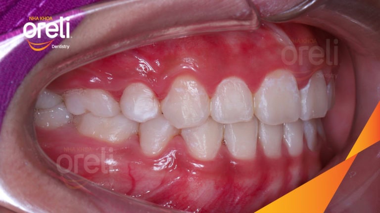
Ca niềng chỉnh chen chúc sai khớp cắn hạng 3 móm nhẹ – Kết quả thực tế ở Oreli Niềng răngChen chúcMóm Xem thêm
Niềng răng hô nặng phải nhổ 4 răng số 4 cho góc nghiêng và hàm răng đều đẹp – Hành trình tại Oreli Niềng răngHô Xem thêm
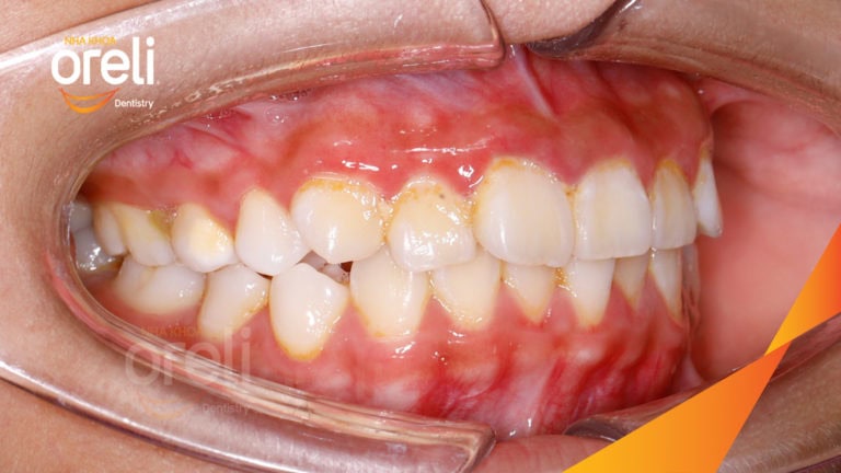
Ca niềng răng sai khớp cắn hạng 3 móm nặng có nhổ răng số 7 – Kết quả thực tế Niềng răngChỉnh lệch cằmMóm Xem thêm