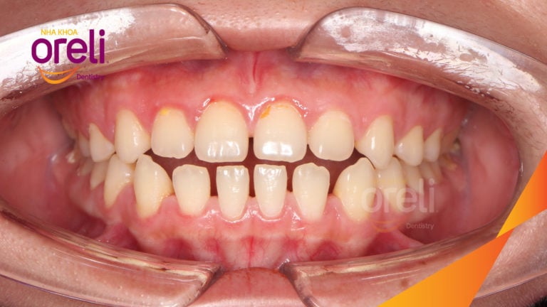
Chỉnh khe thưa răng cửa hai hàm – Kết quả sau 18 tháng tại Nha Khoa Oreli Niềng răngKhe thưa Xem thêm
Ca niềng khe thưa bằng mắc cài sứ kết quả thay đổi sau 18 tháng tại nha khoa Oreli Niềng răngKhe thưa Xem thêm