Ca niềng chỉnh cắn sâu hô lùi cằm cho kết quả nụ cười và góc nghiêng đẹp ở Oreli Niềng răngCắn sâuHôLùi cằm Xem thêm
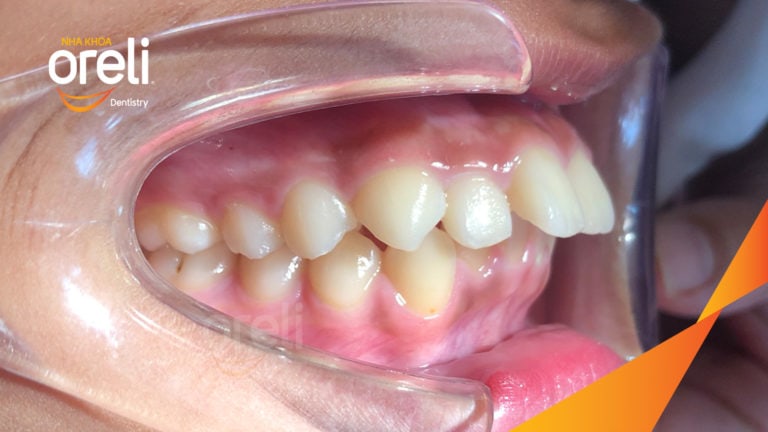
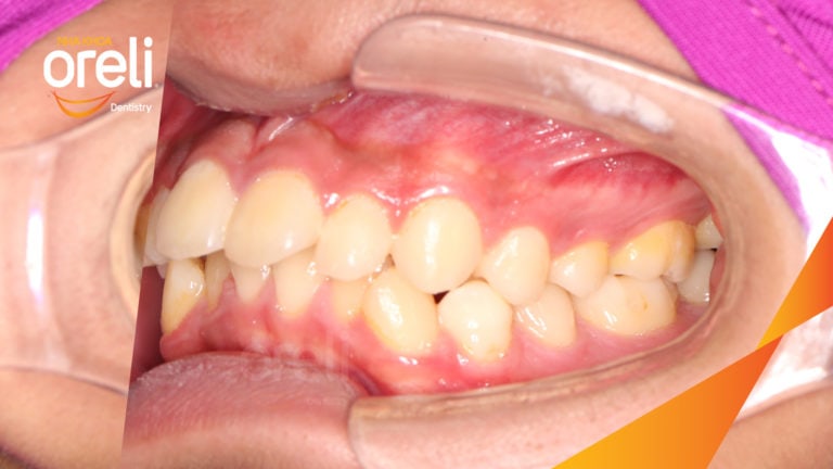
Ca niềng chỉnh cắn sâu nặng kèm cắn chéo vùng răng sau kết quả thực tế tại nha khoa Oreli Niềng răngCắn sâu Xem thêm
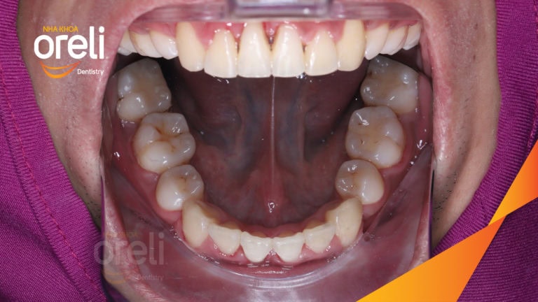
Ca niềng chỉnh cắn sâu không nhổ răng kết quả cười đẹp sau hơn hai năm tại Oreli Niềng răngCắn sâu Xem thêm