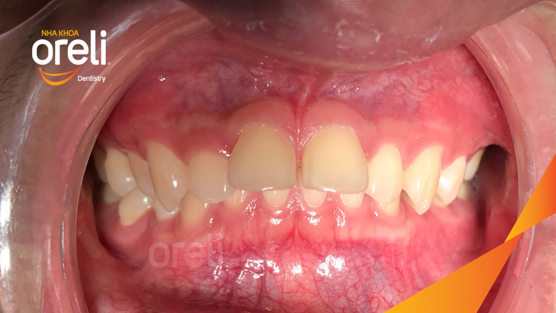
Ca niềng chỉnh cắn sâu hô lùi cằm cho kết quả nụ cười và góc nghiêng đẹp ở Oreli

Ca niềng răng cắn sâu phục hồi ăn nhai và thẩm mỹ nụ cười. Kết quả thực tế trước và sau điều trị tại Nha khoa Oreli.

Thông tin ca điều trị

Giải pháp: làm đều chỉnh khớp cắn sâu không nhổ răng

Thời gian: 36 tháng

Kết quả: khớp cắn đúng, cằm tiến ra trước với mặt nghiêng đẹp

Hình ảnh thực tế

Mọ chi tiết xin liên hệ: Nha khoa Oreli - Nụ cười như ý

  • 📍 135 Ngô Quyền, Buôn Ma Thuột
  • 📍 143 Trần Hưng Đạo, Buôn Hồ
  • 📍 235 Nguyễn Tất Thành, Ea Kar

📞 Hotline: 0825 585 888 - 02626 55 9999

🌐 oreli.vn

Mỗi nụ cười là một hành trình riêng, tại Oreli chúng tôi luôn đồng hành để mang lại kết quả an toàn và thẩm mỹ tối ưu nhất có thể...

Chat Zalo Oreli