Hệ thống chi nhánh
Đội ngũ bác sĩ
Cơ sở vật chất trang bị
Chứng nhận & Pháp lý
Về chúng tôi
Tuyển dụng
Hệ thống chi nhánh
Đội ngũ bác sĩ
Cơ sở vật chất trang bị
Chứng nhận & Pháp lý
Về chúng tôi
Tuyển dụng
TRỒNG RĂNG IMPLANT
Trồng răng Implant Buôn Ma Thuột
Bảng giá răng Implant
Implant toàn hàm All on 4/All on 6
BS trồng răng Implant Oreli
Kết quả trồng răng Implant Buôn Ma Thuột
NIỀNG RĂNG BUÔN MA THUỘT
Tổng quan niềng răng Buôn Ma Thuột
Các loại niềng răng tại nha khoa Oreli
Bảng giá niềng răng
Kết quả niềng răng Buôn Ma Thuột
Niềng răng Invisalign
RĂNG SỨ
Bọc răng sứ
Veneers nha khoa
Cầu răng
Bảng giá răng sứ
So sánh Cầu răng sứ & Implant
NHỔ RĂNG KHÔN
Nhổ răng khôn Buôn Ma Thuột
Nhổ mầm răng khôn
Bảng giá nhổ răng khôn
Giá dịch vụ Nha khoa BMT
Kết quả thực tế nhổ răng khôn
CA THỰC TẾ
KIẾN THỨC NHA KHOA
Kết quả trồng răng implant, niềng răng của chúng tôi
Kết quả điều trị thực tế tại Nha khoa Oreli
TẤT CẢ
IMPLANT
NIỀNG RĂNG
Toàn hàm
Đơn lẻ
Hô
Móm
Chen chúc
Cắn sâu
Cắn hở
Khe thưa
Di gần răng 78
Răng ngầm
Lùi cằm
Lệch cằm
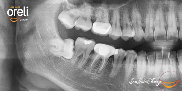
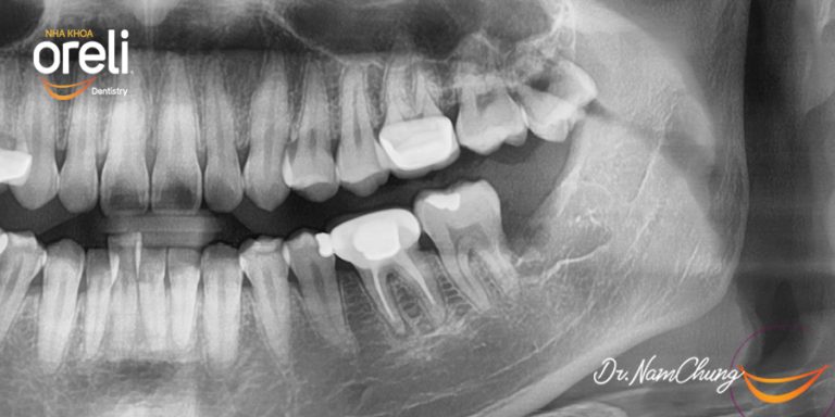
Nhổ răng khôn hàm dưới – Case tại Oreli Buôn Ma Thuột
Nhổ răng khôn
Mọc lệch
Xem thêm
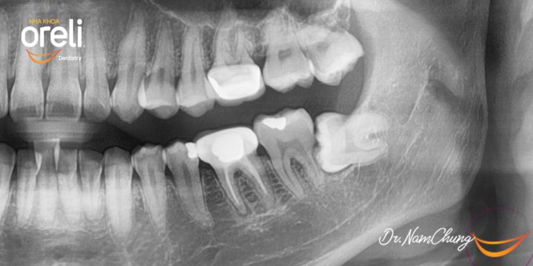
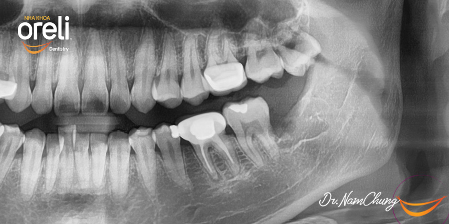
Nhổ răng khôn hàm dưới mọc lệch – Ca thực tế tại Oreli Buôn Ma Thuột
Nhổ răng khôn
Mọc lệch
Xem thêm
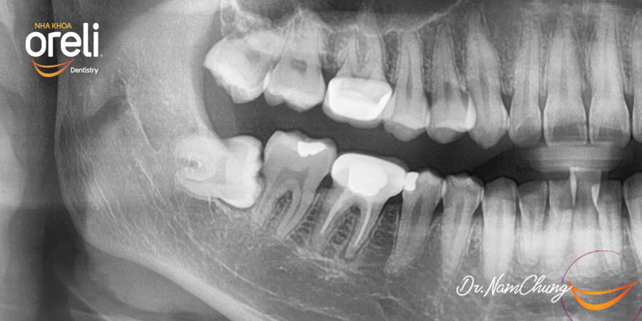
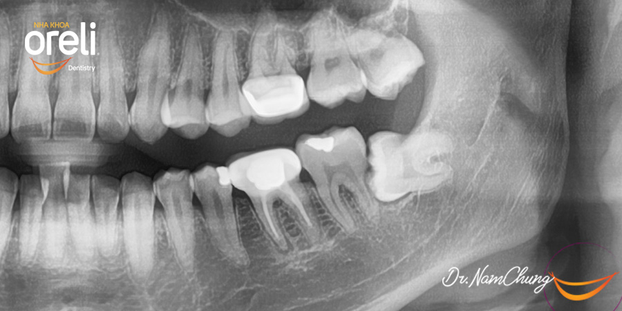
Ca nhổ răng khôn ảnh hưởng răng bên cạnh – Điều trị tại Oreli
Nhổ răng khôn
Mọc lệch
Xem thêm
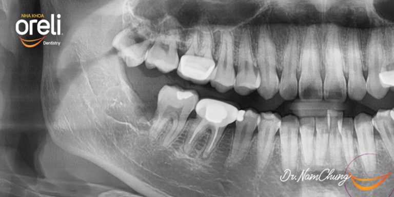
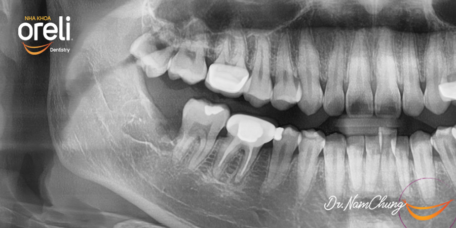
Nhổ răng khôn hàm dưới khó do mọc ngang – Case tại Oreli
Nhổ răng khôn
Mọc lệch
Xem thêm
Nhổ răng khôn hai hàm do chen chúc – Ca thực tế tại Oreli
Nhổ răng khôn
Mọc lệch
Xem thêm
Nhổ răng khôn hàm dưới khó – Kết quả sau điều trị tại Oreli
Nhổ răng khôn
Mọc lệch
Xem thêm
1
2
›