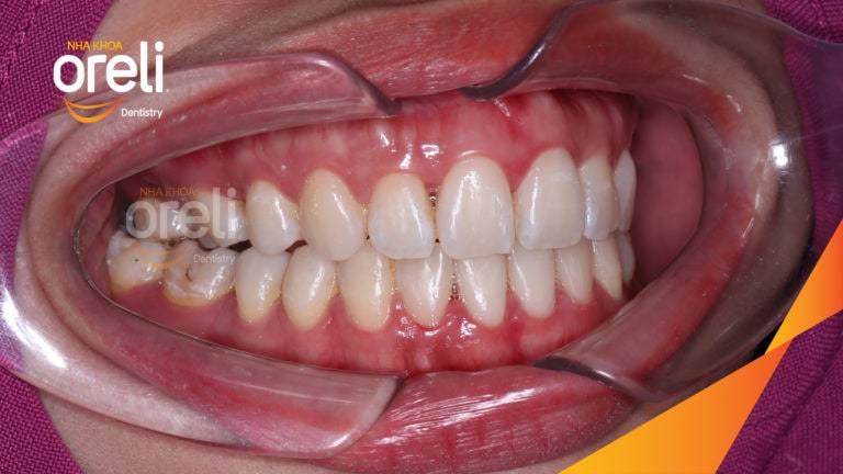
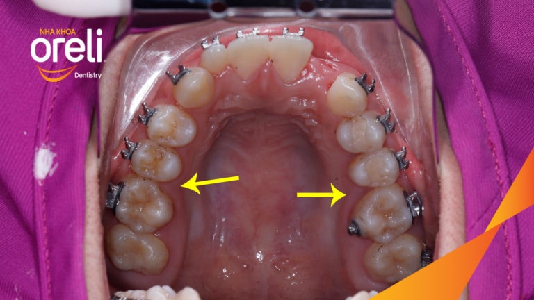
Ca niềng răng sai khớp cắn hạng 3 móm chen chúc kèm di gần răng số 7 8 thay thế răng 6 ở Oreli Niềng răngChen chúcDi gần răng 7 8Móm Xem thêm
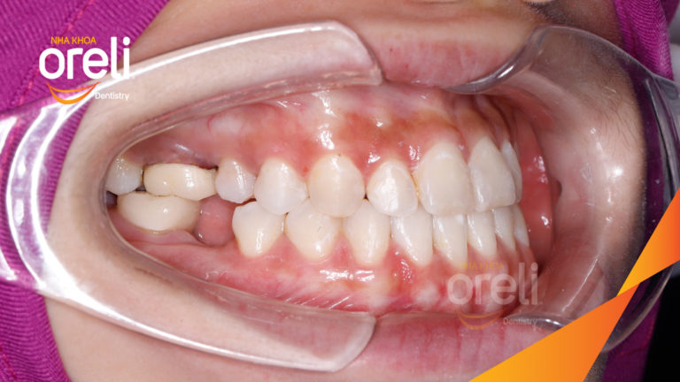
Tháo mắc cài ca chỉnh nha lại tiếp tục đóng khoảng chỉnh hô tại Oreli Niềng răngDi gần răng 7 8Hô Xem thêm
Ca chỉnh hô bằng niềng răng – thay đổi rõ nét sau quá trình điều trị tại Oreli Niềng răngDi gần răng 7 8Hô Xem thêm
Niềng chỉnh hô và di gần răng 7 8 thay thế răng 6 kết quả thực tế tại Oreli Niềng răngDi gần răng 7 8Hô Xem thêm
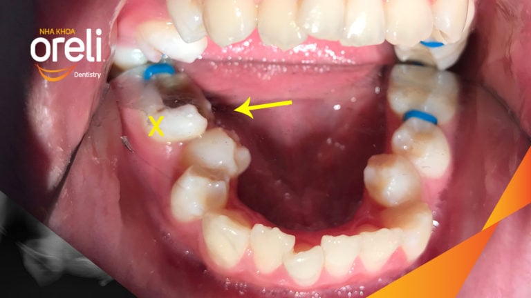
Ca niềng răng đặc biệt: kéo răng 7, 8 thay thế 3 răng 6 bị hư tại Oreli Niềng răngDi gần răng 7 8 Xem thêm