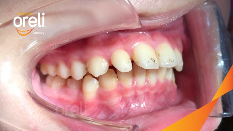
Niềng răng hô nặng phải nhổ 4 răng số 4 cho góc nghiêng và hàm răng đều đẹp – Hành trình tại Oreli Niềng răngHô Xem thêm
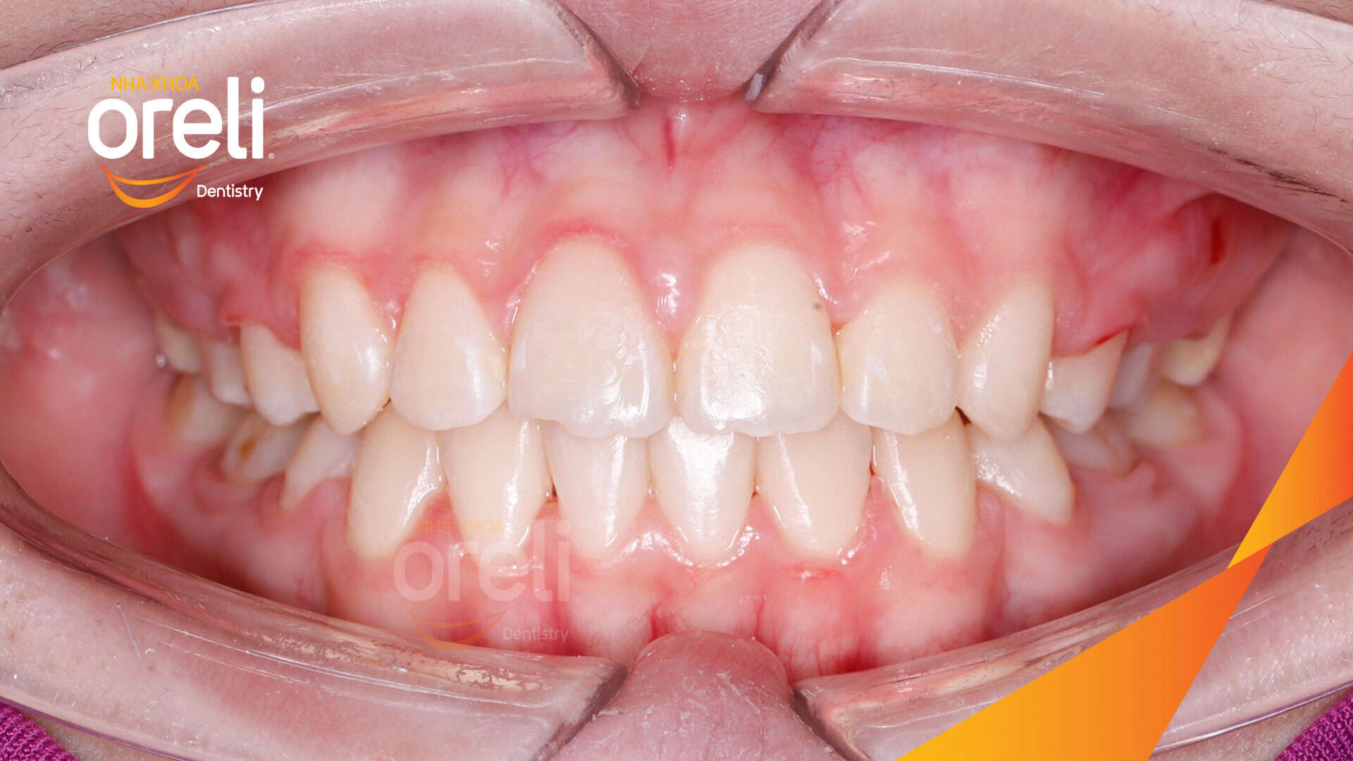
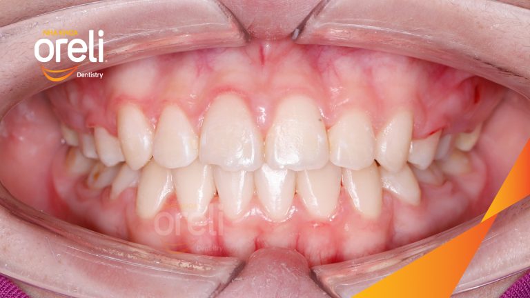
Ca niềng chỉnh cắn sâu hô lùi cằm cho kết quả nụ cười và góc nghiêng đẹp ở Oreli Niềng răngCắn sâuHôLùi cằm Xem thêm