Niềng răng hô nặng phải nhổ 4 răng số 4 cho góc nghiêng và hàm răng đều đẹp – Hành trình tại Oreli

Ca niềng răng hô phục hồi ăn nhai và thẩm mỹ nụ cười. Kết quả thực tế trước và sau điều trị tại Nha khoa Oreli.

Thông tin ca điều trị

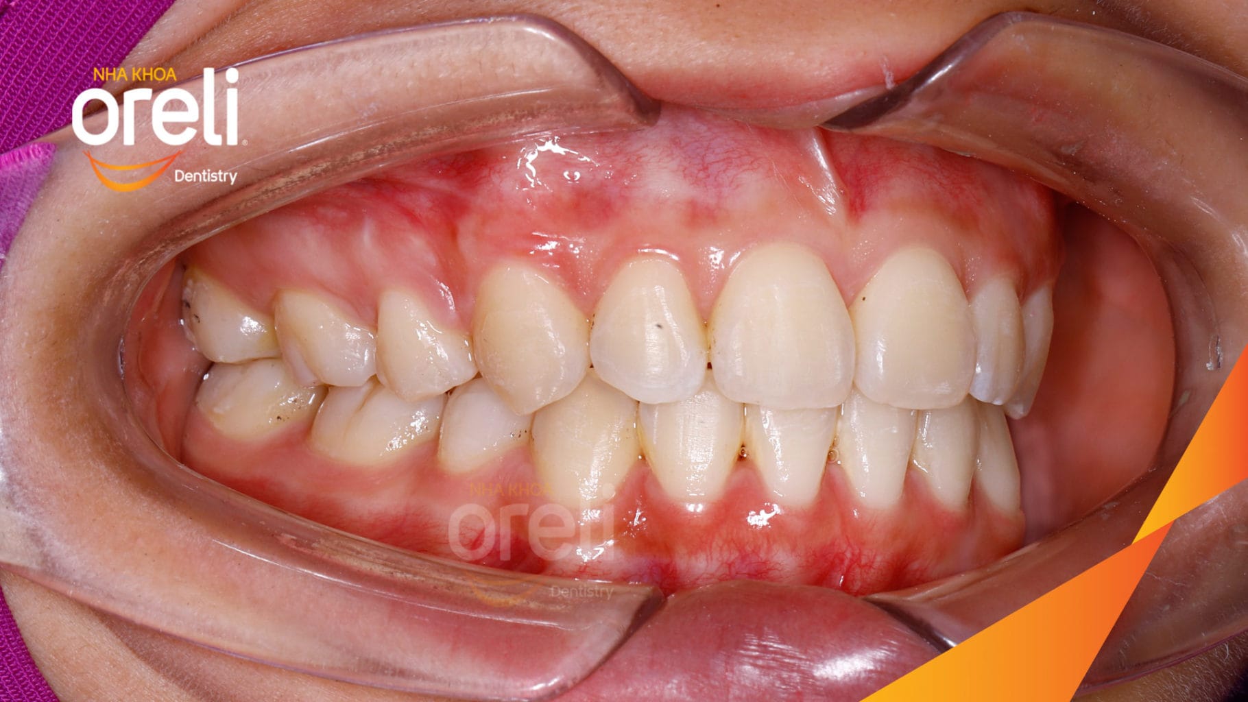
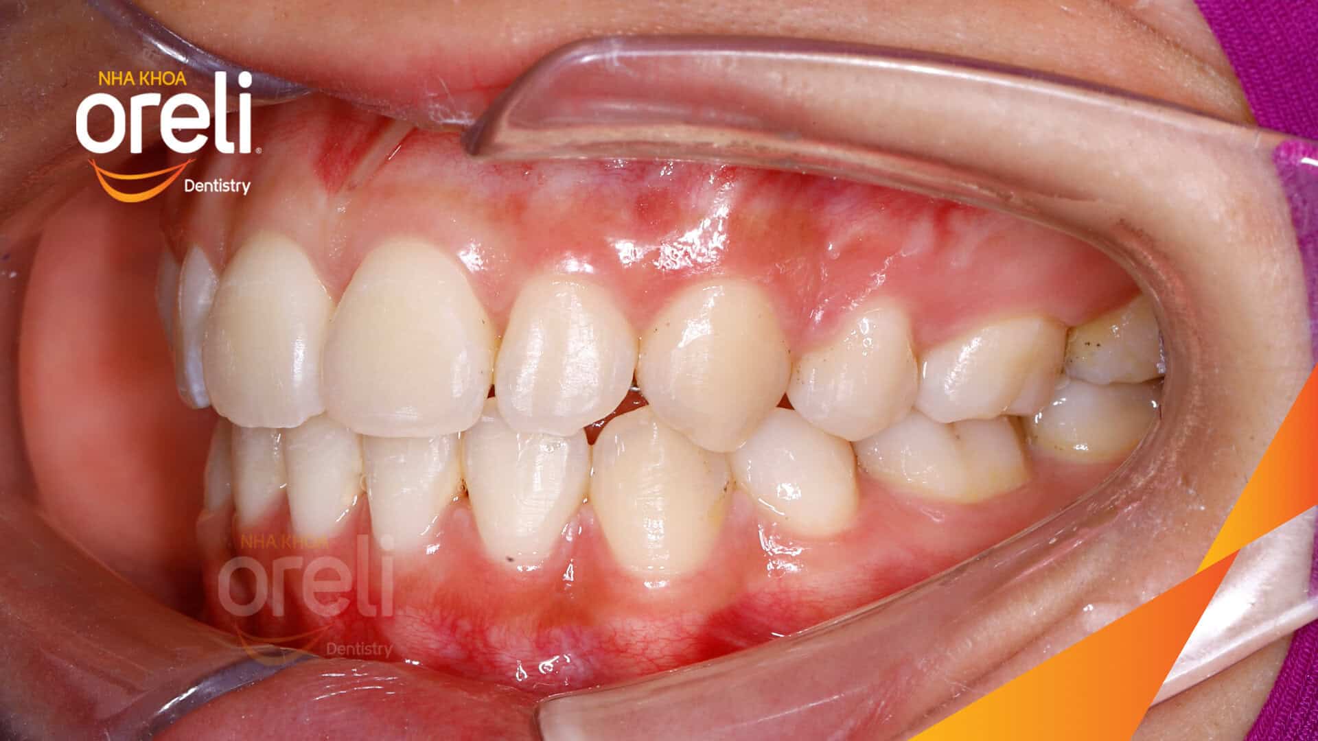
Tình trạng: Răng hô nhô xương ổ hai hàm

Giải pháp: Nhổ 4 răng số 4 niềng răng với măc cài kim loại

Thời gian: 28 tháng

Kết quả: Khớp cắn đúng nụ cười tự nhiên, góc mặt nghiêng đẹp

Xin chào bạn. Trong trường hợp răng hô có độ nhô môi quá mức cho phép, để cải thiện mặt nghiêng và trục răng cửa thì niềng răng hô có nhổ răng 4 là một trong những giải pháp cần thực hiện.

Răng số 4 là răng ít chức năng hơn so với các răng khác trên cung hàm, trên phương diện thẩm mỹ răng số 4 trùng với răng số 5 theo chiều trước sau. Do vậy việc nhổ răng 4 hoặc răng số 5 trong chỉnh nha để nắn chỉnh răng hô thường được lựa chọn.

Dưới đây là một ca nắn chỉnh niềng răng hô có nhổ răng số 4 tại Oreli.

Trong trường hợp này độ nhô môi lớn, góc mũi môi nhọn, môi trên và dưới trượt ra trước so với đường thẩm mỹ E của Rickket, trục răng cửa hàm trên ngả trước nhiều. Việc nhổ răng 4 để giảm hô được thực hiện.

Mọ chi tiết xin liên hệ: Nha khoa Oreli - Nụ cười như ý

  • 📍 135 Ngô Quyền, Buôn Ma Thuột
  • 📍 143 Trần Hưng Đạo, Buôn Hồ
  • 📍 235 Nguyễn Tất Thành, Ea Kar

📞 Hotline: 0825 585 888 - 02626 55 9999

🌐 oreli.vn

Mỗi nụ cười là một hành trình riêng, tại Oreli chúng tôi luôn đồng hành để mang lại kết quả an toàn và thẩm mỹ tối ưu nhất có thể...

Chat Zalo Oreli