Trước – Sau niềng răng hô: Thay đổi rõ sau 24 tháng tại nha khoa Oreli

Ca niềng răng hô phục hồi ăn nhai và thẩm mỹ nụ cười. Kết quả thực tế trước và sau điều trị tại Nha khoa Oreli.

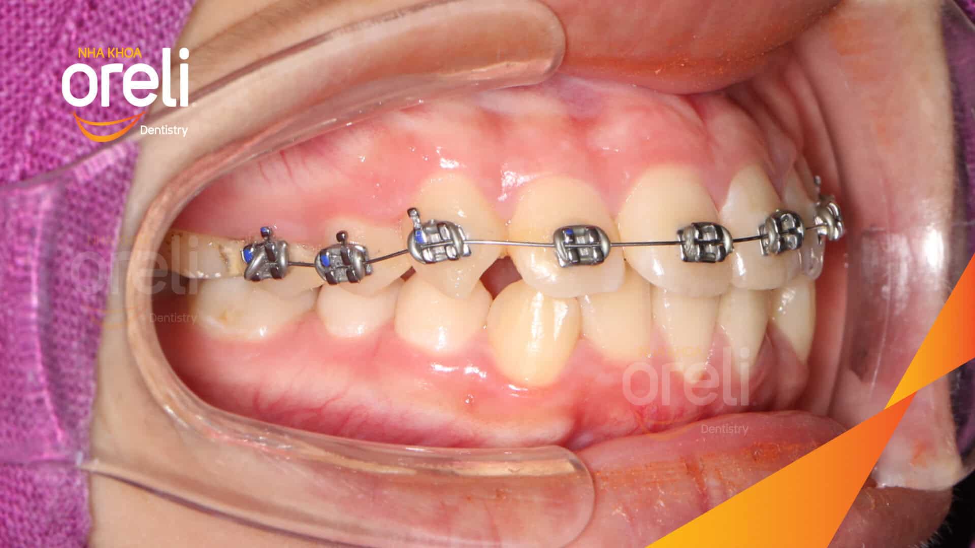
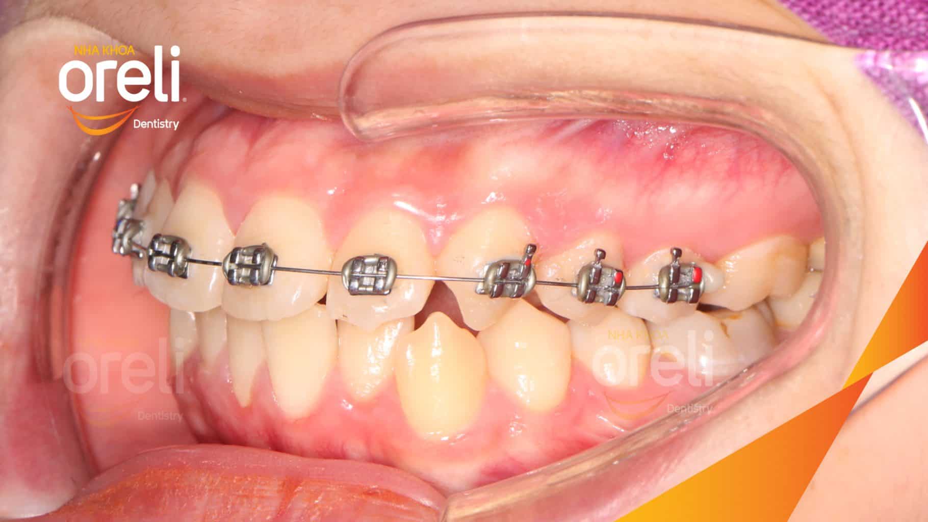
Thông tin ca điều trị

Tình trạng: Nhô xương ổ, trục răng nghiêng trước hai hàm, độ nhô môi nhiều

Giải pháp: Nhổ răng 4 chỉnh hô

Thời gian: 24 tháng

Kết quả: Nụ cười hài hòa, mặt nghiêng đẹp, trục răng cửa đứng

Mọ chi tiết xin liên hệ: Nha khoa Oreli - Nụ cười như ý

  • 📍 135 Ngô Quyền, Buôn Ma Thuột
  • 📍 143 Trần Hưng Đạo, Buôn Hồ
  • 📍 235 Nguyễn Tất Thành, Ea Kar

📞 Hotline: 0825 585 888 - 02626 55 9999

🌐 oreli.vn

Mỗi nụ cười là một hành trình riêng, tại Oreli chúng tôi luôn đồng hành để mang lại kết quả an toàn và thẩm mỹ tối ưu nhất có thể...

Chat Zalo Oreli