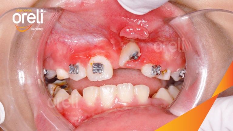
Ca niềng kéo răng nanh ngầm lạc chỗ kết quả sau 24 tháng tại nha khoa Oreli Niềng răngKéo răng ngầm Xem thêm