Kiến thức nha khoa
Chuyên mục Kiến thức nha khoa tại Nha khoa Oreli chia sẻ các thông tin hữu ích về chăm sóc răng miệng, niềng răng, trồng răng Implant và các vấn đề nha khoa thường gặp.
Các bài viết được biên soạn nhằm giúp bạn hiểu rõ hơn về tình trạng răng miệng và lựa chọn giải pháp điều trị phù hợp tại Buôn Ma Thuột.
23 Th12, 2020
Nhổ răng lúc nào tốt nhất là câu hỏi được nhiều người quan tâm. Vì có một số người cho…
Đọc tiếp →
21 Th12, 2020
Nên cấy implant ở đâu tốt Buôn Ma Thuột, uy tín, chất lượng. Mời bạn đọc ngay bài viết bên…
Đọc tiếp →
13 Th12, 2020
Chào bạn, bạn đang ở BMT và đang tìm một trung tâm niềng răng uy tín, để khám răng hô…
Đọc tiếp →
13 Th12, 2020
Chào bạn, bạn đang ở Buôn Ma Thuột và đang muốn tìm nơi bọc răng sứ uy tín do vấn…
Đọc tiếp →
7 Th12, 2020
CHƯƠNG TRÌNH KHUYẾN MÃI GIẢM GIÁ TẠI NHA KHOA ORELI BMT Oreli nụ cười như ý tri ân khách hàng…
Đọc tiếp →
4 Th12, 2020
Chào bạn! Bạn đang ở bmt Đăk Lăk và đang tìm một trung tâm nha khoa uy tín để trồng…
Đọc tiếp →
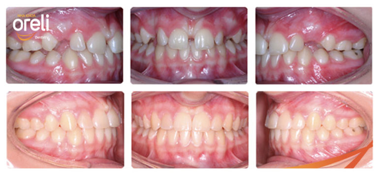
2 Th12, 2020
Răng thưa là tình trạng cấu trúc hàm có sự mất cân đối về khoảng cách giữa các răng. Phương…
Đọc tiếp →
24 Th11, 2020
Bạn đang ở BMT và đang muốn tìm một trung tâm cấy ghép răng Implant uy tín để trồng răng.…
Đọc tiếp →
6 Th11, 2020
Tùy theo số lượng chân trụ Implant được cấy trên cung hàm mà có phương pháp các loại phục hình…
Đọc tiếp →