Ca trồng răng implant hai hàm cho mất răng toàn bộ | Nha khoa Oreli

Ca trồng răng implant toàn hàm phục hồi ăn nhai và thẩm mỹ nụ cười. Kết quả thực tế trước và sau điều trị tại Nha khoa Oreli.

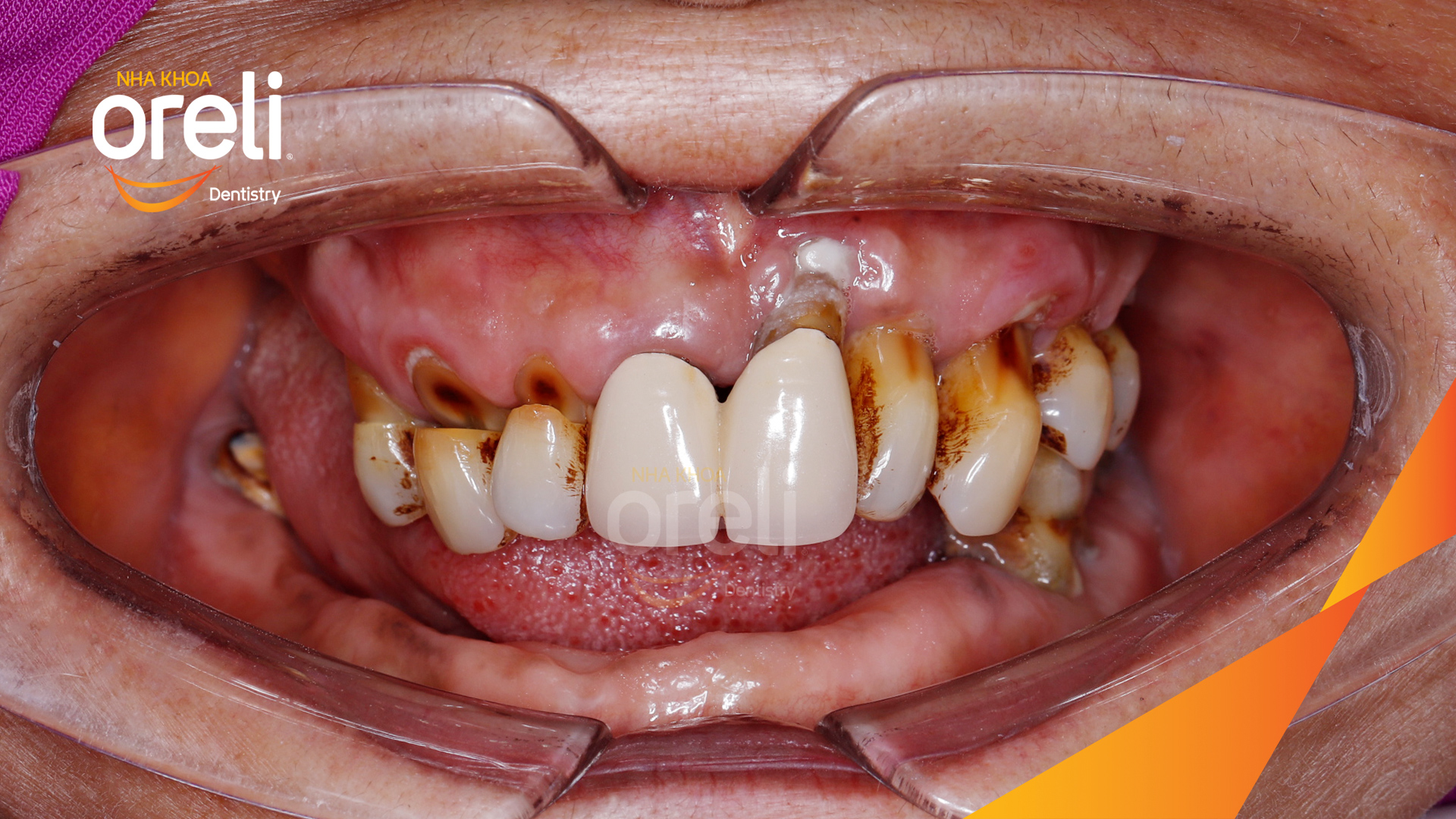
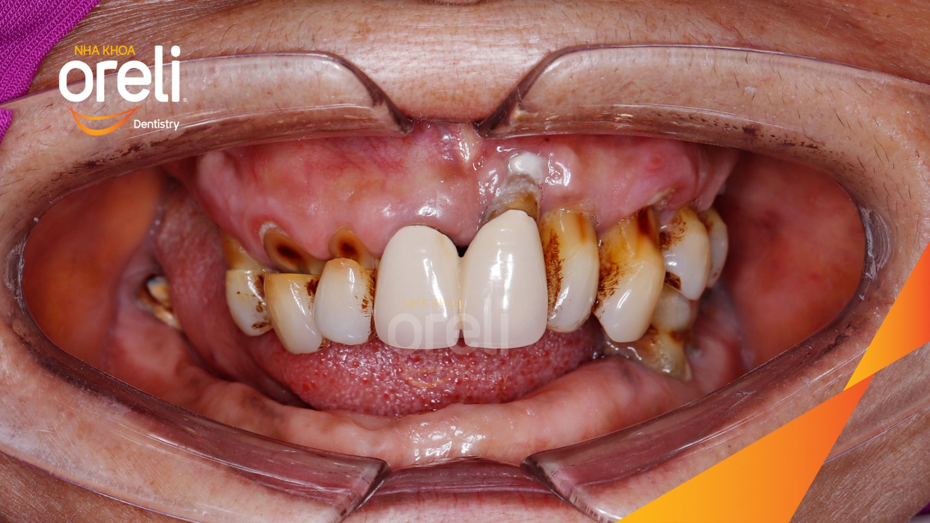
Thông tin ca điều trị

Tình trạng: Mất răng lâu ngày cả trên và dưới đặc biệt vùng răng sau

Giải pháp: Nhổ răng toàn bộ các răng còn lại do lung lay mất khả năng hồi phục

Thời gian: 2 tuần

Kết quả: Phục hồi ăn nhai chắc chắn và cười nói tự tin

Hình ảnh thực tế

Mọ chi tiết xin liên hệ: Nha khoa Oreli - Nụ cười như ý

  • 📍 135 Ngô Quyền, Buôn Ma Thuột
  • 📍 143 Trần Hưng Đạo, Buôn Hồ
  • 📍 235 Nguyễn Tất Thành, Ea Kar

📞 Hotline: 0825 585 888 - 02626 55 9999

🌐 oreli.vn

Mỗi nụ cười là một hành trình riêng, tại Oreli chúng tôi luôn đồng hành để mang lại kết quả an toàn và thẩm mỹ tối ưu nhất có thể...

Chat Zalo Oreli