Niềng răng móm hạng 3 – Trước & sau tại Buôn Ma Thuột

Ca niềng răng móm phục hồi ăn nhai và thẩm mỹ nụ cười. Kết quả thực tế trước và sau điều trị tại Nha khoa Oreli.

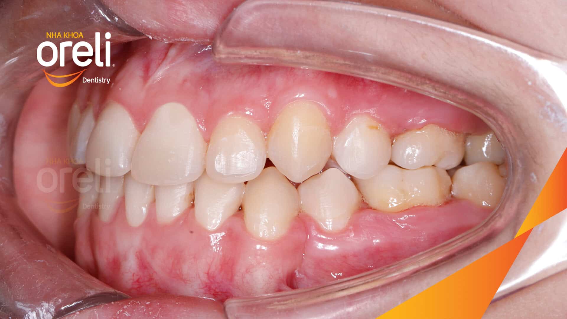
Ca tháo mắc cài niềng răng cho ca sai khớp cắn hạng 3 thành công tại Oreli giúp bệnh nhân có một gương mặt đẹp, hài hòa. Tự tin hơn khi giao tiếp.

Sai khớp cắn cấp độ 3 còn được gọi là khớp cắn ngược. Răng không mọc vào trong như bình thường mà chìa ra ngoài, che phủ răng cửa trên. Điều này làm cho khuôn mặt của những người có khớp cắn ngược không đối xứng, với phần cằm nhô ra được nhìn thấy đầu tiên khi nhìn từ một bên. Sai khớp cắn cấp độ 3 không chỉ ảnh hưởng nghiêm trọng đến ngoại hình mà còn gây khó khăn trong việc ăn nhai.

Hình ảnh thực tế

Mọ chi tiết xin liên hệ: Nha khoa Oreli - Nụ cười như ý

  • 📍 135 Ngô Quyền, Buôn Ma Thuột
  • 📍 143 Trần Hưng Đạo, Buôn Hồ
  • 📍 235 Nguyễn Tất Thành, Ea Kar

📞 Hotline: 0825 585 888 - 02626 55 9999

🌐 oreli.vn

Mỗi nụ cười là một hành trình riêng, tại Oreli chúng tôi luôn đồng hành để mang lại kết quả an toàn và thẩm mỹ tối ưu nhất có thể...

Chat Zalo Oreli