Niềng răng lệch khớp cắn tại Buôn Ma Thuột – Hành trình thay đổi nụ cười tại Nha khoa Oreli

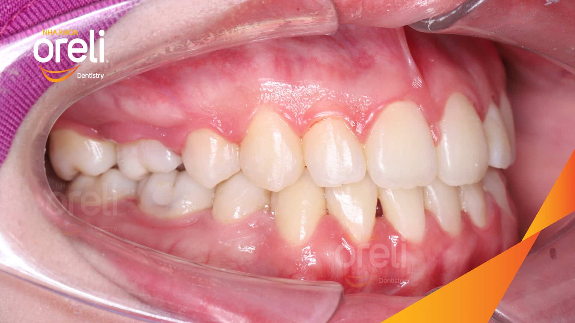
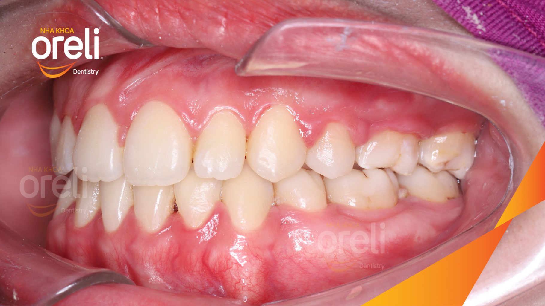
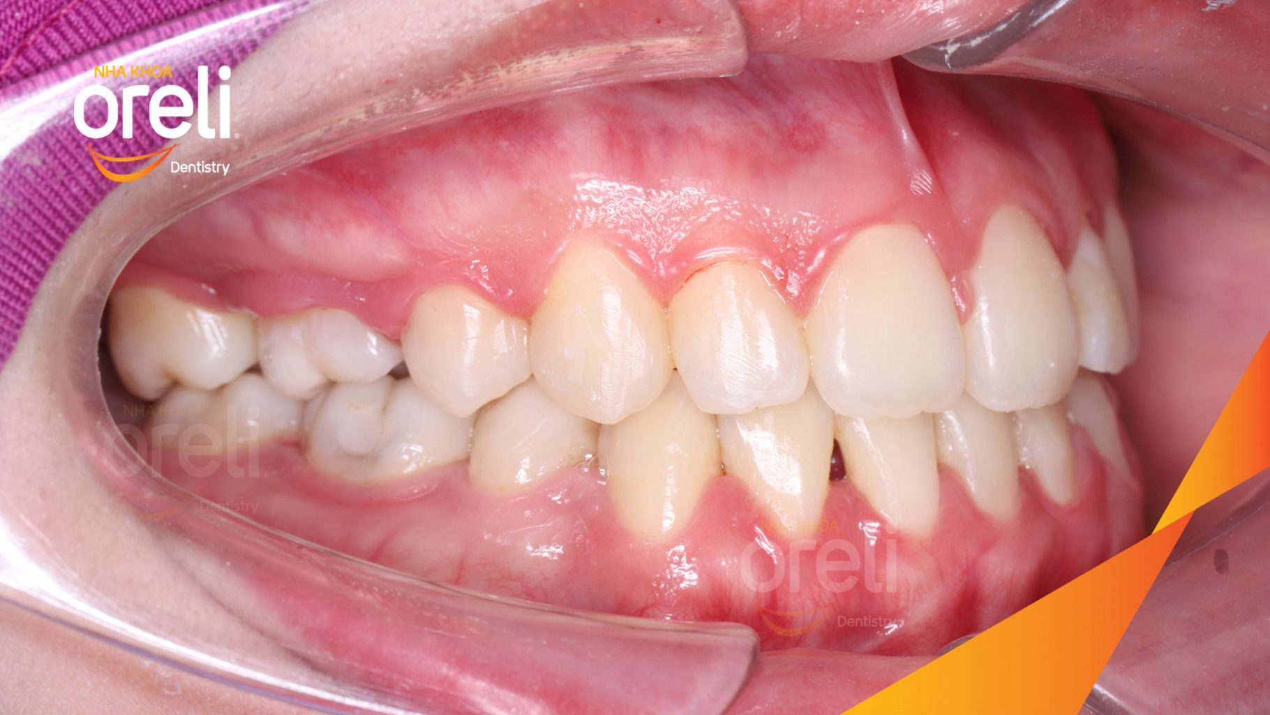
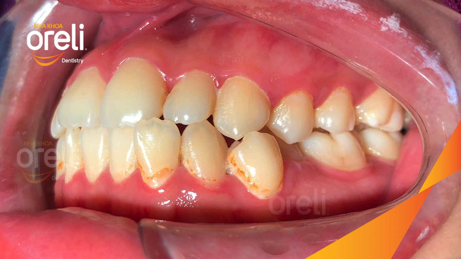
Hành trình thay đổi nụ cười ca lệch khớp cắn hạng 3, hàm dưới trượt ra trước và nhô xương hai hàm.

Tình trạng này không chỉ ảnh hưởng đến thẩm mỹ khuôn mặt mà còn gây khó khăn trong ăn nhai và phát âm. Thông qua quá trình niềng răng được cá nhân hóa, khách hàng đã từng bước cải thiện khớp cắn và lấy lại sự tự tin trong giao tiếp.

Hình ảnh thực tế

Mỗi nụ cười là một hành trình riêng. Tại Oreli, chúng tôi luôn đồng hành cùng bạn để mang lại kết quả an toàn, thẩm mỹ và phù hợp nhất.

Chat Zalo Oreli