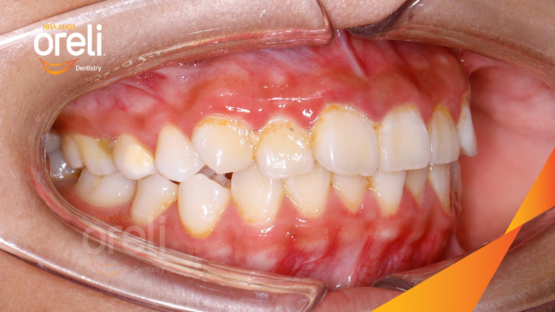
THÁO MẮC CÀI NIỀNG RĂNG CHỈNH HÔ TẠI ORELI










Tiếp điểm của chúng tôi:
———————
Nha khoa Oreli – Nụ cười như ý
———————
Địa chỉ:
Mỗi nụ cười là một hành trình riêng. Tại Oreli, chúng tôi luôn đồng hành cùng bạn để mang lại kết quả an toàn, thẩm mỹ và phù hợp nhất.