Mất răng toàn hàm ăn nhai khó? Giải pháp All-on-6 tại Oreli

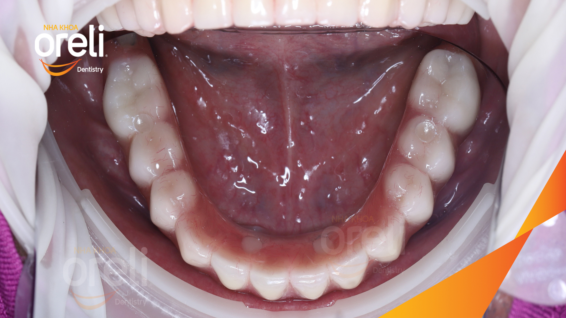
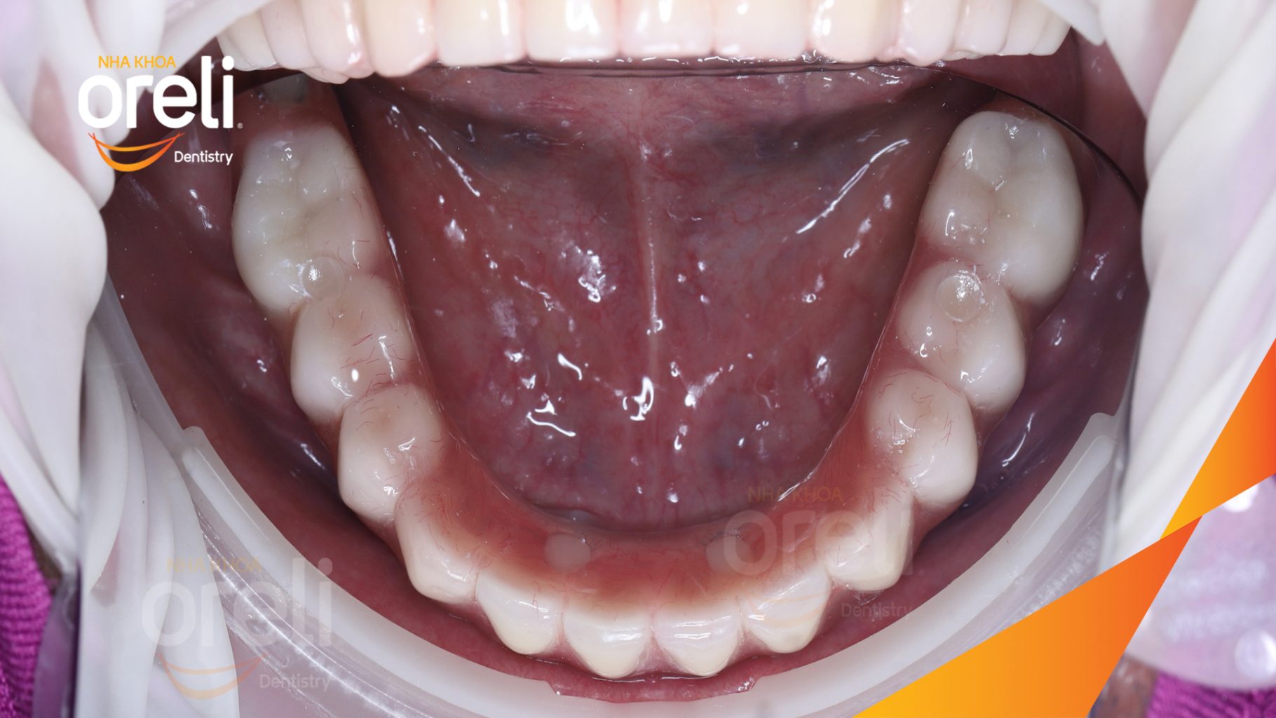
Ca trồng răng implant toàn hàm phục hồi ăn nhai và thẩm mỹ nụ cười. Kết quả thực tế trước và sau điều trị tại Nha khoa Oreli.

Thông tin ca điều trị

Tình trạng: Mất răng toàn bộ hàm trên và hàm dưới

Giải pháp: Trồng răng implant hai hàm với phục hình tạm

Thời gian: 7 ngày

Kết quả: Ăn nhai trở lại và nụ cười thẩm mỹ

Hình ảnh thực tế

Mọ chi tiết xin liên hệ: Nha khoa Oreli - Nụ cười như ý

  • 📍 135 Ngô Quyền, Buôn Ma Thuột
  • 📍 143 Trần Hưng Đạo, Buôn Hồ
  • 📍 235 Nguyễn Tất Thành, Ea Kar

📞 Hotline: 0825 585 888 - 02626 55 9999

🌐 oreli.vn

Mỗi nụ cười là một hành trình riêng, tại Oreli chúng tôi luôn đồng hành để mang lại kết quả an toàn và thẩm mỹ tối ưu nhất có thể...

Chat Zalo Oreli