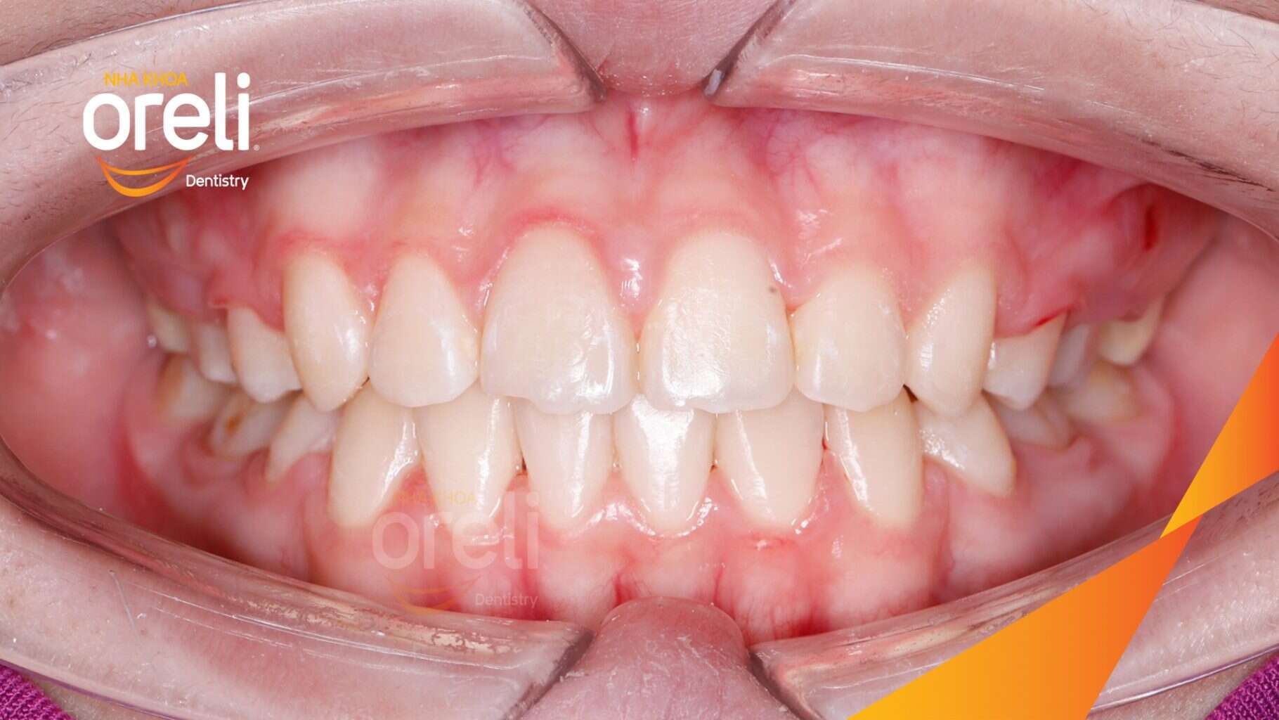
Ca niềng chỉnh hô có nhổ 4 răng 4 cho kết quả đẹp tại Oreli

Ca niềng răng hô phục hồi ăn nhai và thẩm mỹ nụ cười. Kết quả thực tế trước và sau điều trị tại Nha khoa Oreli.

Mọ chi tiết xin liên hệ: Nha khoa Oreli - Nụ cười như ý

  • 📍 135 Ngô Quyền, Buôn Ma Thuột
  • 📍 143 Trần Hưng Đạo, Buôn Hồ
  • 📍 235 Nguyễn Tất Thành, Ea Kar

📞 Hotline: 0825 585 888 - 02626 55 9999

🌐 oreli.vn

Mỗi nụ cười là một hành trình riêng, tại Oreli chúng tôi luôn đồng hành để mang lại kết quả an toàn và thẩm mỹ tối ưu nhất có thể...

Chat Zalo Oreli