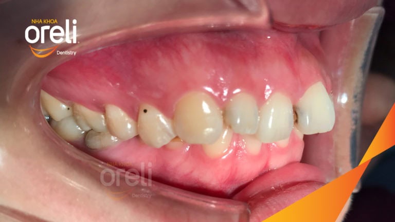
Ca niềng chỉnh hô lẹm cằm cho nụ cười đẹp kết quả thực tế sau 2,5 năm tại nha khoa Oreli Niềng răngHô Xem thêm
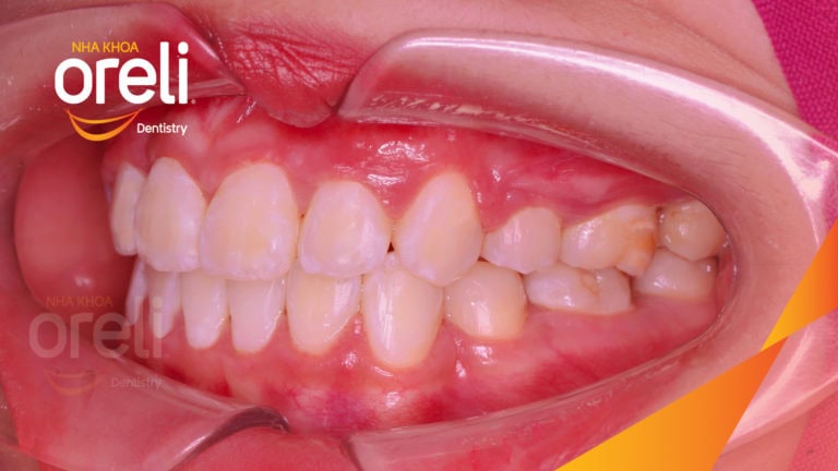
Ca niềng chỉnh hô chen chúc bằng mắc cài kết quả thực tế tại nha khoa Oreli Niềng răngChen chúcHô Xem thêm