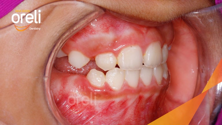
Ca niềng răng sai khớp cắn hạng 3 móm răng chen chúc điều trị tại Oreli Niềng răngChen chúcMóm Xem thêm
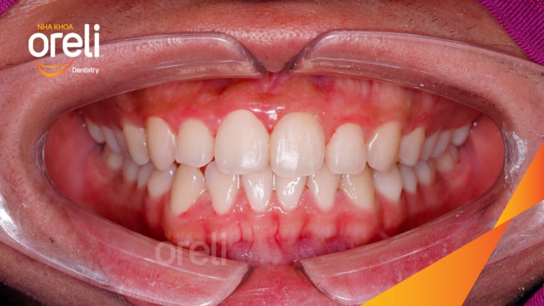
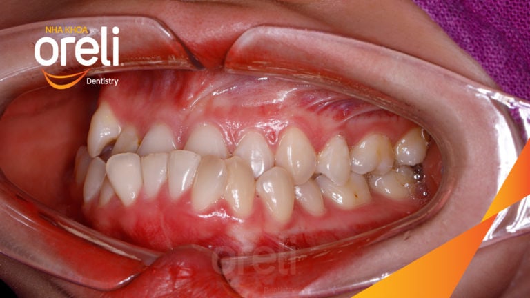
Ca niềng chỉnh móm chen chúc nặng hai hàm kết quả thay đổi nụ cười khuôn mặt tại Oreli Niềng răngChen chúcMóm Xem thêm