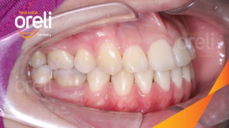
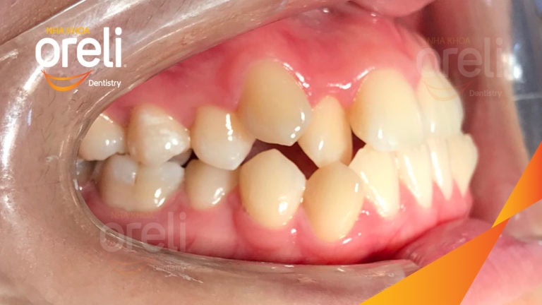
Kết quả trồng răng implant, niềng răng của chúng tôi

Kết quả điều trị thực tế tại Nha khoa Oreli

1345
Chat Zalo Oreli